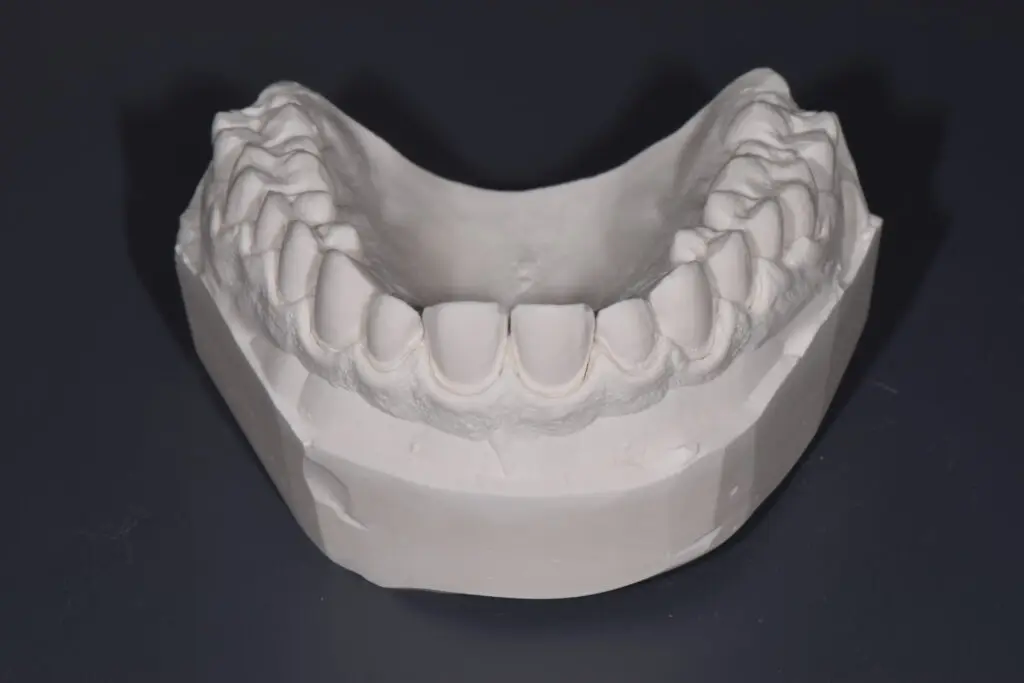
Produzido a partir de moldagens tradicionais, esse modelo físico reproduz fielmente a arcada dentária do paciente. Ele é amplamente utilizado em diagnósticos, planejamento de próteses e ortodontia, garantindo um processo preciso e confiável.
Digital
A tecnologia digital revolucionou a odontologia! Com o escaneamento intraoral, os modelos são capturados sem necessidade de moldagens convencionais, proporcionando mais conforto ao paciente. O arquivo digital pode ser impresso em 3D, garantindo alta precisão, rapidez e um fluxo de trabalho moderno e eficiente.